-
Cisti Renali

Una cisti è una sacca, generalmente ripiena di liquido, delimitata da una parete che separa il contenuto da ciò che circonda la cisti stessa. La cisti renale semplice di per sé è una lesione benigna. A volte possono essere associate a disturbi potenzialmente dannosi per la funzione renale o per l’organismo. Le cisti del rene possono essere lasciate in sede senzaContinua…
-
Ernia Inguinale

Ernia inguinale è un termine composto, scopriamo intanto cosa significano queste due parole. Per ernia si intende la fuoriuscita di un viscere contenuto nell’addome, la cavità che normalmente lo contiene.Inguinale è invece riferito alla direzione di questa fuoriuscita, e cioè attraverso il canale inguinale. Questa struttura consiste in un tunnel scavato nei muscoli della parete addominale, in prossimitàContinua…
-
Gastrite e infezione da Helicobacter pylori

Come è possibile dedurre dal suffisso -ite, per gastrite, si intende una patologia caratterizzata da una infiammazione che colpisce lo stomaco. Quando questa infiammazione è particolarmente accentuata, e si localizza in un preciso punto si viene a creare una cosiddetta ulcera, che può essere gastrica o duodenale a seconda della sede. L’ulcera gastrica, o duodenaleContinua…
-
Cisti del pancreas

Le cisti pancreatiche sono un frequente riscontro occasionale in corso di esami eseguiti per altri motivi. Una volta scoperte è necessario distinguerle e gestire controlli e terapie a seconda dell’istotipo.
-
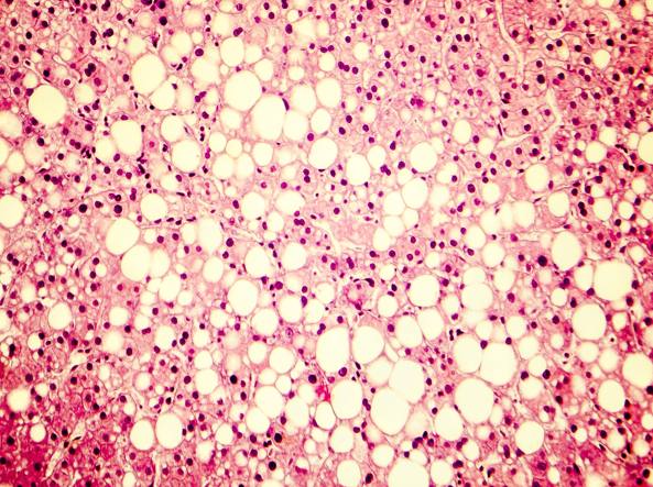
La steatosi epatica

Il fegato grasso è una condizione molto comune. Quando severa può comportare dei rischi per la funzione del fegato.
-
Colecisti e Colecistectomia

La colecistectomia è uno degli interventi laparoscopici più frequenti in chirurgia generale. L’indicazione più frequente sono i calcoli della colecisti.
-
Le Fibre Alimentari

Le fibre vegetali sono parte integrante della dieta quotidiana. E’ indispensabile la loro conoscenza per farne buon uso.
-
La preparazione alla Colonscopia

La colonscopia è l’esame di scelta per lo studio del colon e del retto. Un a buona preparazione intestinale è necessaria al fine di ottenere un ottimo risultato ed evitare di ripetere l’esame.