

Seguimi su Instagram
Approfondimenti
Dolore post-operatorio: cosa è normale e quando preoccuparsi
Uno dei timori più frequenti prima di un intervento chirurgico riguarda il dolore dopo l’operazione. È una preoccupazione comprensibile, spesso alimentata da racconti, esperienze altrui o informazioni poco chiare.
Ernia inguinale: quando va operata subito e quando no
Non tutte le ernie richiedono un intervento immediato. Operare quando serve è importante mentre è inutile creare una urgenza senza motivo.
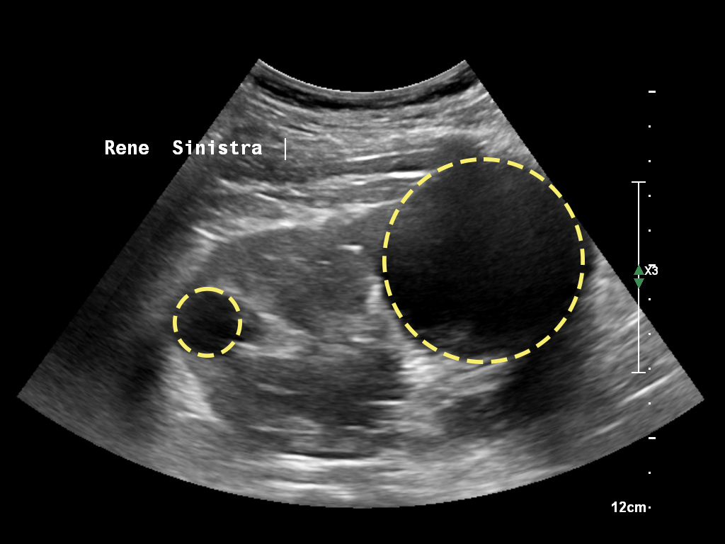
Cisti Renali
Una cisti è una sacca, generalmente ripiena di liquido, delimitata da una parete che separa il contenuto da ciò che circonda la cisti stessa. La cisti renale semplice di per sé è una lesione benigna. A volte possono essere associate a disturbi potenzialmente dannosi per la funzione renale o per l’organismo. Le cisti del rene possono essere lasciate in sede senza…
Ernia Inguinale
Ernia inguinale è un termine composto, scopriamo intanto cosa significano queste due parole. Per ernia si intende la fuoriuscita di un viscere contenuto nell’addome, la cavità che normalmente lo contiene.Inguinale è invece riferito alla direzione di questa fuoriuscita, e cioè attraverso il canale inguinale. Questa struttura consiste in un tunnel scavato nei muscoli della parete addominale, in prossimità…
Gastrite e infezione da Helicobacter pylori
Come è possibile dedurre dal suffisso -ite, per gastrite, si intende una patologia caratterizzata da una infiammazione che colpisce lo stomaco. Quando questa infiammazione è particolarmente accentuata, e si localizza in un preciso punto si viene a creare una cosiddetta ulcera, che può essere gastrica o duodenale a seconda della sede. L’ulcera gastrica, o duodenale…
Cisti del pancreas
Le cisti pancreatiche sono un frequente riscontro occasionale in corso di esami eseguiti per altri motivi. Una volta scoperte è necessario distinguerle e gestire controlli e terapie a seconda dell’istotipo.
La steatosi epatica
Il fegato grasso è una condizione molto comune. Quando severa può comportare dei rischi per la funzione del fegato.








