Una cisti è una sacca, generalmente ripiena di liquido, delimitata da una parete che separa il contenuto da ciò che circonda la cisti stessa. La cisti renale semplice di per sé è una lesione benigna. A volte possono essere associate a disturbi potenzialmente dannosi per la funzione renale o per l’organismo.
Le cisti del rene possono essere lasciate in sede senza rischi per la salute in quanto nella maggior parte di casi si tratta di “cisti semplici“, e possono essere presenti in quantità singola o multipla, su uno o entrambi i reni contemporaneamente.
Visto che tipicamente non sono provocati disturbi per cisti dalle dimensioni contenute e in piccola quantità, la diagnosi è occasionale nella grande maggioranza dei casi, tipicamente nel corso di esami prescritti per altri motivi.
E’ possibile avere una diagnosi di cisti renale a qualsiasi età, anche se il rischio di svilupparle aumenta con l’età.
In rari casi, quando le dimensioni o il numero sono eccessivi, tali a volte da occupare gran parte del volume del rene stesso, possono dar luogo a complicazioni come infezioni, rottura spontanea o a seguito di trauma o ostruzioni delle vie urinarie.
Alcune forme di cisti sono legate a condizioni ereditarie che durante la crescita portano ad un aumento di numero e dimensioni delle cisti renali, a volte associate anche a cisti del fegato, in numero tale sostituire completamente il tessuto funzionante fino alla insufficienza.. Queste condizioni sono rare e non hanno niente a che vedere con le cisti renali semplici, anche multiple, che molto frequentemente sono riscontrate e che comportano alcuna riduzione della capacità di filtrazione renale.
Quali sono i sintomi delle cisti renali?
Una cisti semplice non genera particolari sintomi. Se le sue dimensioni diventano eccessive possono comprimere il tessuto circostante renale ed extra-renale, quando le dimensioni diventano notevolmente aumentate. La compressione può generare senso di pesantezza che può sfociare in dolore, tipicamente al fianco e posteriore, alla schiena, oppure irradiato all’inguine se la compressione ostacola il deflusso dell’urina a volte favorendo la formazione di calcoli o di infezioni ricorrenti delle vie urinarie. Questa condizione è comunque molto poco frequente e la maggior parte delle cisti renali passa inosservata fino ad un riscontro occasionale in corso di controlli eseguiti per altri motivi.
Una cisti renale di grosse dimensioni può sanguinare all’interno generando dolore. Il sanguinolento in genera si limita spontaneamente.
In questi casi può essere presente una alterazione del colore e dell’odore delle urine, sia in caso di sanguinamento, che di infezione, sia in caso di calcolosi.
Una cisti molto voluminosa inoltre può comprimere l’intestino circostante creando disturbi nella digestione, stitichezza, o senso di ripienezza anche dopo piccoli pasti.
La cisti complessa
In caso di particolari aree ispessite della parete della cisti o in presenza di pareti interne, denominate setti, si parla di cisti complessa, quindi non più semplice, e viene classificata in base alla quantità di queste alterazioni. Più sono, più il grado è maggiore e più è presente il rischio che tale cisti nasconda un focolaio di cellule tumorali.

Diagnosi della cisti
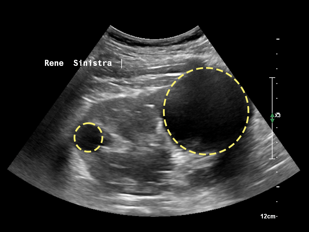
Anche in caso di cisti palpabili attraverso una visita medica (si parla di cisti di oltre 10 cm di diametro) la diagnosi può avvenire solo mediante la visualizzazione con immagini radiologiche. La più comune metodica utilizzata, e facilmente reperibile è l’ecografia dell’addome.
Nel caso di dubbi la valutazione può essere approfondita con TC o risonanza magnetica che aiutano a chiarire quadri, specialmente in caso di cisti complesse con componenti sospette molto piccole.
Esame delle urine, esami del sangue e biopsia renale sono invece utili per valutare la presenza di infezioni o per valutare la funzione renale residua. La biopsia di cisti renali non è una pratica utilizzata nella comune pratica clinica.
Trattamento? “No, grazie. A meno che…”
Non è possibile prevenire la formazione di cisti renali semplici, tantomeno, in caso di comparsa, è necessario un trattamento a meno di dimensioni tali da comportare un disagio.
Il trattamento può prevedere lo svuotamento di una cisti, anche mediante la guida ecografica, oppure la fenestrazione laparoscopica, cioè mediante delle piccole cannule il chirurgo pratica una apertura sulla parete della cisti aspirandone il contenuto, il tutto in anestesia generale ma con un ricovero molto breve..
In caso di cisti complesse tipicamente è consigliata la asportazione quando il sospetto tumorale sia alto. La asportazione può prevedere anche la sola cisti o una porzione di rene che include la cisti, lasciando in sede, funzionante, la maggior parte dell’organo.
In caso di cisti complesse di basso grado o di cisti semplici non sintomatiche è consigliato un controllo ecografico, se possibile almeno annuale o più frequente nei primi anni dalla diagnosi cosi da valutare eventuali alterazioni o crescita marcata che segnerebbero un campanello di allarme per eseguire ulteriori approfondimenti.